Thumbnail Images
Home ] Up ] Abstract ] Introduction ] Methods ] Results ]

 

 

Hallux Valgus Angle

The hallux valgus angle (HAV) or hallux abductus angle is the angle formed between the longitudinal axis of the first proximal phalanx and the longitudinal axis of the first metatarsus.

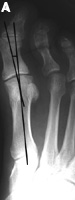
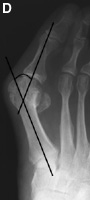
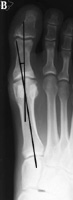
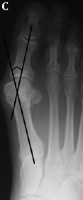
Hallux VarusA.  In hallux varus or adductus the HAV is less then 5º. Normal Hallux Valgus Angle B. In normal subjects  HAV is 5º to 15º . Hallux abducto valgus is mild when HAV is 16º to 25º,Moderate Hallux Valgus C. moderate  when HAV is 26º to 35º, and severe Severe Hallux Valgus(D) when HAV is greater than 35º.

Back ] Home ] Up ] Next ]

Download times ] Inline Images ] [ Thumbnail Images ] Link to Images ]


Google
 
Web Gentili.net

Separator