Download times
Home ] Up ] Abstract ] Introduction ] Methods ] Results ]

 

GIF vs. JPEG

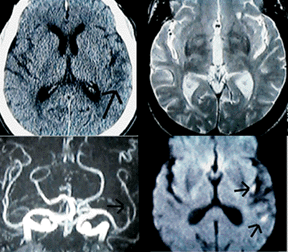
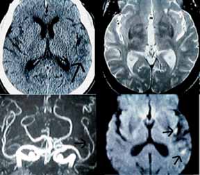
See how much more quickly the image on the right loads. This is the 16 k JPEG image showing CT and MR diffusion images of an acute stroke. Do you notice any appreciable difference in image quality? The GIF image on the left takes up nearly 66 kilobytes, taking 23 seconds to download at 28.8 kbs versus 5 seconds for the JPEG.

   JPG stroke image

 

 

 

Home ] Up ] Next ]

[ Download times ] Inline Images ] Thumbnail Images ] Link to Images ]


Google
 
Web Gentili.net

Separator