


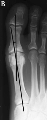
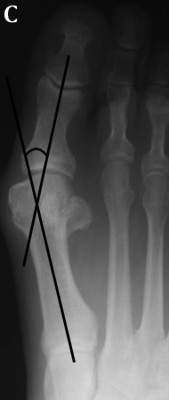
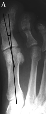
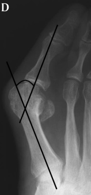
The hallux
valgus angle (HAV) or hallux abductus angle is the angle formed between the longitudinal
axis of the first proximal phalanx and the longitudinal axis of the first metatarsus.
A. In hallux varus or adductus the HAV is less then 5º. B. In normal
subjects HAV is 5º to 15º . Hallux abducto valgus is mild when HAV is 16º to
25º, C. moderate when HAV is 26º to 35º, and severe (D) when HAV is greater than
35º.