Bite Sign
Home Up Location Diagnosis
Back Next

 

Atlas of Signs in Musculoskeletal Radiology is approved by the ARRS (American Roentgen Ray Society) and is included in AJR Webreview
A. Gentili,MD, M. Beller, MD, S. Masih, MD, L.L. Seeger, MD

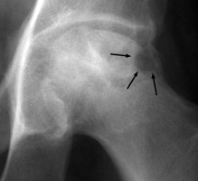
Diagnosis:

Avascular Necrosis

Discussion:

One image each of two separate patients with collapse and necrosis of the femoral head, both of which are secondary to repeated injection of steroids. A rapid progression of change in a joint secondary to steroid injections. Transition of a joint from one of minor alterations(such as narrowing, sclerosis) to one of significant bony fragmentation and collapse. Gouged-out areas of bony destruction may be similar to small animal bites, hence the bite sign.


AP hip - Click on the image for a larger versionA - Click on the image for a larger versionB

References:

bulletMartel W, Sitterley BH: Roentgenologic Manifestation of osteonecrosis. AJR Am J Roentgenol 1969, 106;509-522.          [See related articles]

 

Google
 
Web Gentili.net


Atlas of Signs in Musculoskeletal Radiology is approved by the ARRS (American Roentgen Ray Society) and is included in AJR Webreview
A. Gentili,MD, M. Beller, MD, S. Masih, MD, L.L. Seeger, MD