Sail Sign
Home Up Location Diagnosis
Back Next

 

Atlas of Signs in Musculoskeletal Radiology is approved by the ARRS (American Roentgen Ray Society) and is included in AJR Webreview
A. Gentili,MD, M. Beller, MD, S. Masih, MD, L.L. Seeger, MD

Diagnosis:

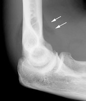
Elbow effusion

Discussion:

Single lateral radiographs of the elbow which reveals the classic sail sign. This is an invaluable soft tissue finding in cases of intra-articular injury of the elbow. Fat is normally present within the joint capsule of the elbow, but outside the synovium. Typically "hidden" in the concavity of the olecranon and coronoid fossae, the fat is usually not visible on the lateral radiograph. However, injuries that produce intra-articular hemorrhage cause distension of the synovium and forces the fat out of the fossa, producing triangular radiolucent shadows anterior and posterior to the distal end of the humerus. When present in a patient with a history of acute trauma to the elbow, the fat pad sign indicates the presence of an intra-articular hemorrhage, which in turn is often associated with an intra-articular skeletal injury (usually the radial head in an adult).


 - Click on the image for a larger version

References:

Inaba A.S.: Radiographic Examination of the Elbow Radiology Cases in Pediatric Emergency Medicine

.

 

 

Google
 
Web Gentili.net


Atlas of Signs in Musculoskeletal Radiology is approved by the ARRS (American Roentgen Ray Society) and is included in AJR Webreview
A. Gentili,MD, M. Beller, MD, S. Masih, MD, L.L. Seeger, MD