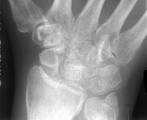
Crowded Carpal Sign
Home Up Location Diagnosis
Back Next

 

Atlas of Signs in Musculoskeletal Radiology is approved by the ARRS (American Roentgen Ray Society) and is included in AJR Webreview
A. Gentili,MD, M. Beller, MD, S. Masih, MD, L.L. Seeger, MD

Diagnosis:

Volar Perilunar dislocation

Discussion:

Frontal radiograph of the wrist reveals overlap of the distal carpal row with the proximal carpal row. This overriding gives rise to the "crowded carpal" appearance and is a sign specific for volar perilunate dislocation. It is secondary to proximal migration of the distal row of carpal bones during subluxation.


AP wrist - Click on the image for a larger version

References:

bulletKlein A, Webb LX: The crowded carpal sign in volar perilunar dislocation. J Trauma 1987 Jan;27(1):82-4.          [See related articles]

 

 

Google
 
Web Gentili.net


Atlas of Signs in Musculoskeletal Radiology is approved by the ARRS (American Roentgen Ray Society) and is included in AJR Webreview
A. Gentili,MD, M. Beller, MD, S. Masih, MD, L.L. Seeger, MD