|
Atlas of Signs in Musculoskeletal Radiology is approved by the ARRS (American Roentgen Ray Society) and is included in AJR WebreviewA. Gentili,MD, M. Beller, MD, S. Masih, MD, L.L. Seeger, MD
|
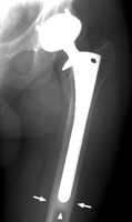
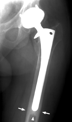
Diagnosis:Loosening prosthesis Discussion:Always associated with the presence of divergent radio-opaque lines, the pedestal sign is indicative of prosthetic loosening of the femoral stem in cementless total hip arthroplasty. The presence of radio-opaque lines within a radiolucent area, separated from the prosthetic tip by at least 2 mm, is defined as the "pedestal sign." References:
|
|
Atlas of Signs in Musculoskeletal Radiology is approved by the ARRS (American Roentgen Ray Society) and is included in AJR WebreviewA. Gentili,MD, M. Beller, MD, S. Masih, MD, L.L. Seeger, MD
|