Brim Sign
Home Up Location Diagnosis
Back Next

 

Atlas of Signs in Musculoskeletal Radiology is approved by the ARRS (American Roentgen Ray Society) and is included in AJR Webreview
A. Gentili,MD, M. Beller, MD, S. Masih, MD, L.L. Seeger, MD

Diagnosis:

Paget's Disease

Discussion:

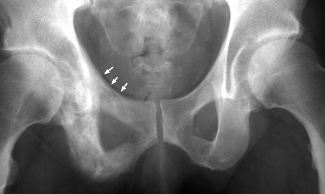
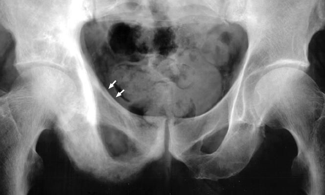
AP radiographs of the pelvis with changes characteristic of Paget's disease throughout the right hemipelvis. Notice the thickening of the right pelvic brim (ileopectineal line) as compared to the left. Thickening of the pelvic brim, or arcuate line (ileopectineal line) seen in patients with Paget's disease. The ridge of bone around the pelvic brim, when osteoblastic reaction occurs, adds to the normal sclerotic density of this area. This is a useful sign in distinguishing Paget's changes from metastatic disease.


AP pelvis - Click on the image for a larger versionAAP pelvis - Click on the image for a larger versionB

References:

bulletMarshal TR, Ling JT: The brim sign: A new sign found in Paget's disease (osteatis deformans) of the pelvis. AJR Am J Roentgenol 1963, 90:1267-1270.

 

Google
 
Web Gentili.net


Atlas of Signs in Musculoskeletal Radiology is approved by the ARRS (American Roentgen Ray Society) and is included in AJR Webreview
A. Gentili,MD, M. Beller, MD, S. Masih, MD, L.L. Seeger, MD