|
Atlas of Signs in Musculoskeletal Radiology is approved by the ARRS (American Roentgen Ray Society) and is included in AJR WebreviewA. Gentili,MD, M. Beller, MD, S. Masih, MD, L.L. Seeger, MD
|
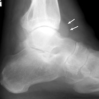
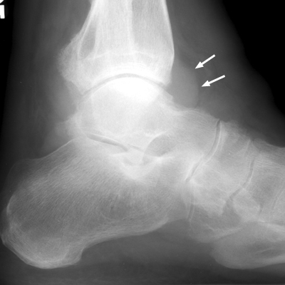
Diagnosis:Ankle effusion Discussion:One normal ankle radiograph (A), and one abnormal ankle radiograph (B) revealing a moderate effusion. The teardrop shaped density seen extending anteriorly from the ankle joint along the neck of the talus has been referred to as the "teardrop sign" of ankle effusion. This is a useful sign in the diagnosis of ankle joint effusion, and may alert the diagnostician to possible underlying pathology. References:
|
|
Atlas of Signs in Musculoskeletal Radiology is approved by the ARRS (American Roentgen Ray Society) and is included in AJR WebreviewA. Gentili,MD, M. Beller, MD, S. Masih, MD, L.L. Seeger, MD
|