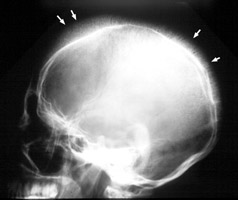
Hair on End
Home Up Location Diagnosis
Back Next

 

Atlas of Signs in Musculoskeletal Radiology is approved by the ARRS (American Roentgen Ray Society) and is included in AJR Webreview
A. Gentili,MD, M. Beller, MD, S. Masih, MD, L.L. Seeger, MD

Diagnosis:

Hemolytic anemia

Discussion:

Two lateral skull x-rays with peculiar thin, fine linear extensions radiating out from the skull, appearing as hair standing 'on-end' from the skull. The ‘hair’ represents the accentuated trabeculae extending between the inner and outer skull tables in the expanded diploic marrow spaces. It appears to be ‘on end’ because the trabeculae are oriented perpendicular to the inner and outer tables of the skull. The term is now classically associated with the radiographic changes seen in hemolitic anemia. A. Sickle cell disease. B. Thalassemia.


 - Click on the image for a larger versionA - Click on the image for a larger versionB

References:

bulletCooley TB, Lee P: A series of cases of anemia with splenomegaly and peculiar bone changes. Trans. Am. Pediatr. Trans. Am. Pediatr. Soc. 1925; 37; 29.
bulletDiggs LW, Pulliam HN, King JC: The bone changes in sickle AJR Am J Roentgenol 1979 Mar;132(3):373-7.          [See related articles]

 

 

Google
 
Web Gentili.net


Atlas of Signs in Musculoskeletal Radiology is approved by the ARRS (American Roentgen Ray Society) and is included in AJR Webreview
A. Gentili,MD, M. Beller, MD, S. Masih, MD, L.L. Seeger, MD