Button Sequestrum
Home Up Location Diagnosis
Back Next

 

Atlas of Signs in Musculoskeletal Radiology is approved by the ARRS (American Roentgen Ray Society) and is included in AJR Webreview
A. Gentili,MD, M. Beller, MD, S. Masih, MD, L.L. Seeger, MD

Diagnosis:

Eosinophilic granuloma

Discussion:

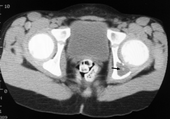
Single slice of a CT scan of the pelvis with an abnormal lucent area with a sclerotic focus within it in the left hemipelvis. This sign was originally utilized to describe an unusual radiographic manifestation of Eosinophilic Granuloma. It is a round, lucent defect with a bony density, or sequestrum, in its center. This is not pathognomonic as other disease entities such as osteomyelitis can have a similar appearance.


CT acetabulum - Click on the image for a larger version

References:

bulletSholkoff SD, Mainzer F: Button sequestrum revisited. Radiology 1971, 100:649-652.          [See related articles]

 

 

Google
 
Web Gentili.net


Atlas of Signs in Musculoskeletal Radiology is approved by the ARRS (American Roentgen Ray Society) and is included in AJR Webreview
A. Gentili,MD, M. Beller, MD, S. Masih, MD, L.L. Seeger, MD