|
Atlas of Signs in Musculoskeletal Radiology is approved by the ARRS (American Roentgen Ray Society) and is included in AJR WebreviewA. Gentili,MD, M. Beller, MD, S. Masih, MD, L.L. Seeger, MD
|
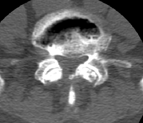
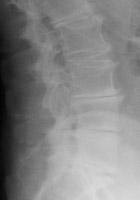
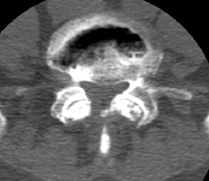
Diagnosis:Degenerative disk disease Discussion:The presence of a linear radiolucency in the disk space (vacuum phenomenon) is a typical finding of degenerative disk disease. It is often associated to other findings of degenerative disk disease such as disk space narrowing and endplate sclerosis. Gas in the disk space is rarely associated to disk space infection. References:
|
|
Atlas of Signs in Musculoskeletal Radiology is approved by the ARRS (American Roentgen Ray Society) and is included in AJR WebreviewA. Gentili,MD, M. Beller, MD, S. Masih, MD, L.L. Seeger, MD
|