Scotty Dog Sign
Home Up Location Diagnosis
Back Next

 

Atlas of Signs in Musculoskeletal Radiology is approved by the ARRS (American Roentgen Ray Society) and is included in AJR Webreview
A. Gentili,MD, M. Beller, MD, S. Masih, MD, L.L. Seeger, MD

Diagnosis:

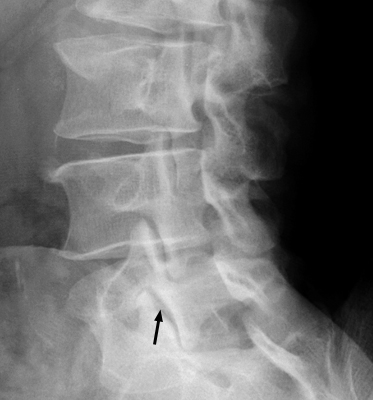
Spondylolysis

Discussion:

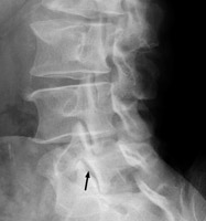
On the oblique view of the lumbar spine, the outline of a dog can seen. The parts of the dog are as follows: the transverse process-the nose; the pedicle-the eye; the pars interarticularis-the neck; the superior articular facet-the ear; the inferior articular facet-the front leg. A break in the neck of the dog, or a dog collar, corresponds to a fracture in the region of the pars interarticularis, which is specific for spondylolysis. It is important to recognize as it is a cause of low back pain. A. Normal. B. L5 Pars defect.


Oblique lumbar spine - Click on the image for a larger versionAOblique lumbar spine - Click on the image for a larger versionB

References:

bulletMillard L: The Scotty dog and his collar. J Ark Med Soc 1976 Jan;72(8):339-40.          [See related articles]

 

 

Google
 
Web Gentili.net


Atlas of Signs in Musculoskeletal Radiology is approved by the ARRS (American Roentgen Ray Society) and is included in AJR Webreview
A. Gentili,MD, M. Beller, MD, S. Masih, MD, L.L. Seeger, MD