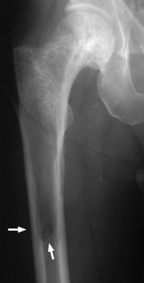
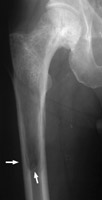
Blade of Grass Sign
Home Up Location Diagnosis
Back Next

 

Atlas of Signs in Musculoskeletal Radiology is approved by the ARRS (American Roentgen Ray Society) and is included in AJR Webreview
A. Gentili,MD, M. Beller, MD, S. Masih, MD, L.L. Seeger, MD

Diagnosis:

Paget's Disease

Discussion:

Paget's disease has three distinct phases visible radiographically: a lytic phase, a sclerotic phase, and a mixed lytic-sclerotic phase. When involvement of the lytic phase is present in a long bone, the lytic changes may advance as a V- or wedge-shaped radiolucent area, clearly demarcated from the adjacent bone. This has been likened to a blade of grass.


Right proxial femur - Click on the image for a larger version

References:

bulletSchubert F, Siddle KJ, Harper JS: Diaphyseal Paget's disease: an unusual finding in the tibia. Clin Radiol 1984 Jan;35(1):71-4.          [See related articles]
bulletCooper KL: Radiology of metabolic bone disease. Endocrinol Metab Clin North Am 1989 Dec;18(4):955-76 .          [See related articles]

 

 

Google
 
Web Gentili.net


Atlas of Signs in Musculoskeletal Radiology is approved by the ARRS (American Roentgen Ray Society) and is included in AJR Webreview
A. Gentili,MD, M. Beller, MD, S. Masih, MD, L.L. Seeger, MD