Ivory Vertebra Sign
Home Up Location Diagnosis
Back Next

 

Atlas of Signs in Musculoskeletal Radiology is approved by the ARRS (American Roentgen Ray Society) and is included in AJR Webreview
A. Gentili,MD, M. Beller, MD, S. Masih, MD, L.L. Seeger, MD

Diagnosis:

Mets, Paget, Lymphoma

Discussion:

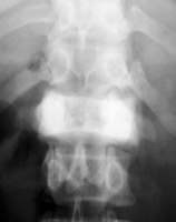
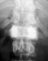
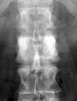
A uniformly white vertebra with no abnormality of its contour or adjacent disks. The vertebra stands out against the adjacent normal, or darker, vertebral bodies. While the list of possible etiologies of ivory vertebrae is extensive, the most common causes of ivory vertebrae are typically metastatic disease, and Paget’s. A-B. Metastatic breast cancer. C-D. Paget's disease.


Lateral lumbar spine - Click on the image for a larger versionAAP lumbar spine - Click on the image for a larger versionBIvory Vertebra - Click on the image for a larger versionCIvory Vertebra - Click on the image for a larger versionD

References:

bulletOchsner HC, Moser RH: Ivory vertebra. AJR Am J Roentgenol 1933; 29:635-637.

 

 

Google
 
Web Gentili.net


Atlas of Signs in Musculoskeletal Radiology is approved by the ARRS (American Roentgen Ray Society) and is included in AJR Webreview
A. Gentili,MD, M. Beller, MD, S. Masih, MD, L.L. Seeger, MD