|
Atlas of Signs in Musculoskeletal Radiology is approved by the ARRS (American Roentgen Ray Society) and is included in AJR WebreviewA. Gentili,MD, M. Beller, MD, S. Masih, MD, L.L. Seeger, MD
|
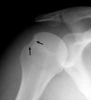
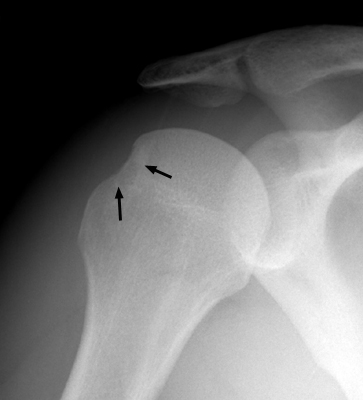
Diagnosis:s/p anterior shoulder dislocation Discussion:Frontal film of the right shoulder which reveals a defect of the posterolateral aspect of the humeral head, consistent with a Hill-Sachs deformity. The Hill-Sachs sign represents deformity of the superior, posterior border of the humeral head and is typically a result of impaction of the anterior inferior surface of the glenoid labrum on the posterolateral aspect of the humeral head during dislocation. References:
|
|
Atlas of Signs in Musculoskeletal Radiology is approved by the ARRS (American Roentgen Ray Society) and is included in AJR WebreviewA. Gentili,MD, M. Beller, MD, S. Masih, MD, L.L. Seeger, MD
|