Anterior Drawer Sign
Home Up Location Diagnosis
Back Next

 

Atlas of Signs in Musculoskeletal Radiology is approved by the ARRS (American Roentgen Ray Society) and is included in AJR Webreview
A. Gentili,MD, M. Beller, MD, S. Masih, MD, L.L. Seeger, MD

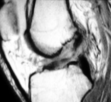
Diagnosis:

ACL Tear

Discussion:

The anterior cruciate ligament runs obliquely within the lateral aspect of the intercondylar notch, attaching to the inner aspect of the lateral femoral condyle proximally and to the anterior aspect of the intercondylar eminence of the tibia distally. An anterior cruciate ligament-deficient knee allows the tibia to undergo subluxation anteriorly relative to the femur. This is the MR equivalent of the anterior drawer sign.


T2W - Click on the image for a larger versionA - Click on the image for a larger versionB

References:

bulletMink JH, Levy T, Crues JV 3d: Tears of the anterior cruciate ligament and menisci of the knee: MR imaging evaluation. Rads 1988;167;769-774.          [See related articles]

 

 

Google
 
Web Gentili.net


Atlas of Signs in Musculoskeletal Radiology is approved by the ARRS (American Roentgen Ray Society) and is included in AJR Webreview
A. Gentili,MD, M. Beller, MD, S. Masih, MD, L.L. Seeger, MD