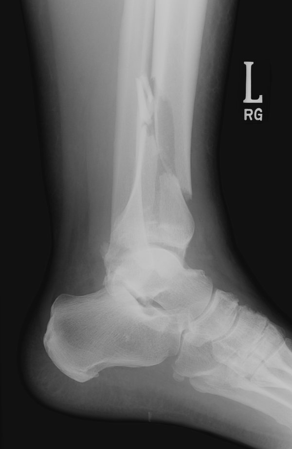
Return to Pilon Fracture