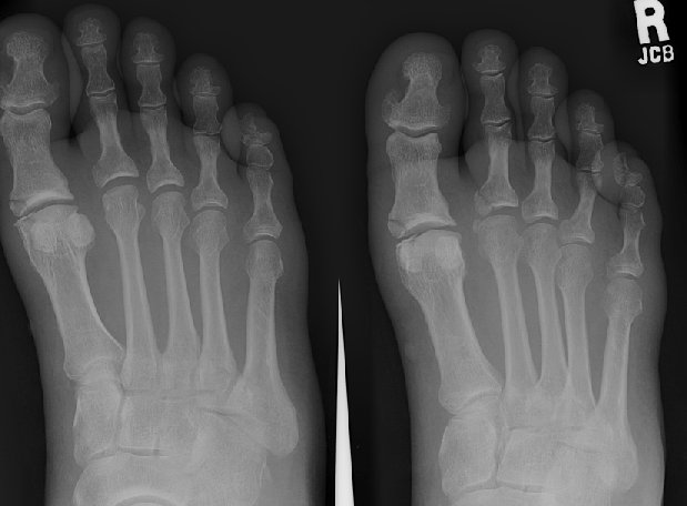
Return to Phalangeal Fracture (Foot)