Patellar Fracture

Return to Main Menu

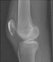
Patellar fractures are classified according to Holt and Larson. The transverse fractures is the most common, resulting from a direct blow. Others include vertical, comminuted, and avulsed. Differentiation is made from a bipartite patella, located usually at the superolateral margin.
 - Click on the image for a larger versionAAP radiograph of the knee. No definite fracture is seen.
 - Click on the image for a larger versionBLateral radiograph of the knee. This depicts the fracture through the inferior pole of the patella.

Links to online textbooks

References:


Google
 
Web Gentili.net

©Gentili.net 1998-2006