Anterior Dislocation (Humerus)

Return to Main Menu

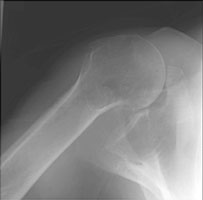
Anterior shoulder dislocations account for 97 % of shoulder dislocations. They are usually due to indirect force, such as from abduction and internal rotation. The humeral head lies inferior and medial to the glenoid. As the dislocation occurs, the Hill-Sachs lesion and the Bankart fracture may occur as a result of the humerus striking the inferior rim of the glenoid. Labral (non-osseous) injuries may also result, leading to recurrent dislocations.
 - Click on the image for a larger versionAAP radiograph of the shoulder. This shows marked overlap of the humeral head and the glenoid.
 - Click on the image for a larger versionBAxillary radiograph of the shoulder. This view demonstrates the anterior dislocation of the humeral head (towards the coracoid).
 - Click on the image for a larger versionCAP chest radiograph. The usual appearance of an anterior shoulder dislocation on a frontal radiograph.

Links to online textbooks

References:


Google
 
Web Gentili.net

©Gentili.net 1998-2006