Reverse Barton Fracture

Return to Main Menu

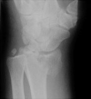
The reverse Barton fracture refers to an intraarticular fracture through the distal radius. Although it is similar in appearance to a Smith fracture, the Smith fracture is not intraarticular. The reverse Barton fracture involves the volar rim of the radius while the conventional Barton fracture involves the dorsal rim. The fracture is caused by direct trauma.
 - Click on the image for a larger versionALateral radiograph of the wrist. This shows a displaced fracture of the volar rim of the radius.
 - Click on the image for a larger versionBOblique radiograph of the wrist. The intraarticular nature of this fracture can be appreciated.

Links to online textbooks

References:


Google
 
Web Gentili.net

©Gentili.net 1998-2006