Boarder ray amputations do not significantly interfere with
ambulation. In fact, amputation of the lateral two or even three rays often provides
a functional weight-bearing foot. Amputation of the medial two and even three rays
in special circumstances may provide a weight-bearing, sensitive, reasonably functional
foot (See below).

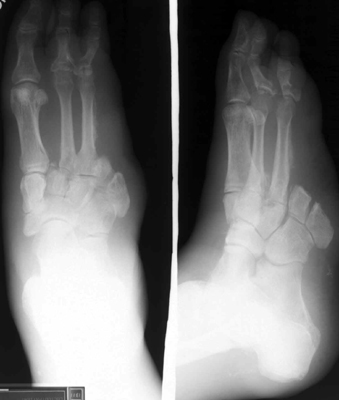
The images to the left show a proximal
transmetatarsal amputation through digits 4 and 5.
Occasionally because of infection with or without ischemia,
particularly in the diabetic foot and occasionally following trauma, removal of one or
more of the central rays, either partially or completely is indicated.